近日,患者李女士将一面写有“医德高尚医术精 情系病患暖人心”的锦旗送至犍为县人民医院心血管内科,对副主任彭宇、管床医生谢加文的倾心服务表示高度认可和衷心感谢。

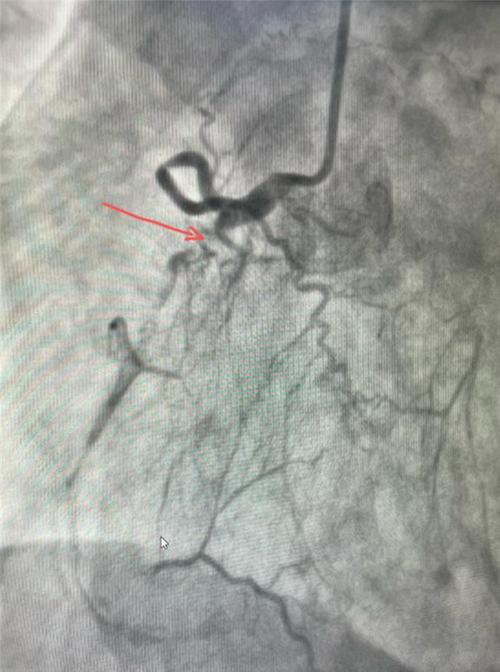
患者李某某,一年前出现活动后心累、胸闷、双下肢水肿等情况,在当地医院治疗效果欠佳,病情反复。今年6月15日病情再次加重,到犍为县人民医院心血管内科治疗,经心电图、冠脉造影等检查,显示患者三支血管重度病变,且伴有长节段慢性完全性闭塞,由于患者病情极其复杂,基于医院现有医疗条件,副主任彭宇赓即牵头制定了分级诊疗方案,积极联系四川大学华西医院专家教授,对接住院部优先为患者办理入院,四川大学华西医院成功为患者实施了冠脉手术,及时控制住病情,避免了严重并发症发生。


造影图像
下一步,犍为县人民医院将深入推进紧密型县域医共体建设,合理利用好区域医疗卫生资源,加快形成基层首诊、双向转诊、省市县联动的分级诊疗服务模式,切实增强人民群众的健康福祉。




川公网安备51010702043654号


